
摘要
当了解完PGD/PGS后很多朋友好奇想生男孩、选择男女能不能做第三代试管婴儿?能不能筛查先天性心脏病、唇腭裂、癫痫,可不可以确保孩子健康等等,然而基因检测像排地雷,并不能100%确定到致病基因。PGD诊断的单基因病有140多种其中所谓的能筛查,是指目前技术水平理论上能做。但是这些罕见病通常在人群中发生率很低,有人得病他们也不一定知道,可以通过筛查来获得正常胚胎;有人知道了想做,也不一定能负担得了费用。总之在胚胎阶段做PGD,选择好的胚胎妊娠,避免流产显然是最好的选择,但对技术要求最高,能筛查的疾病种类少。

HFEA批准的可用于PGD基因检测的遗传病清单
目前临床上PGS、PGD技术可对胚胎植入前的全部染色体行筛查,并针对274种遗传学疾病做出准确的诊断,可最大程度实现大龄、基因异常等因基因问题导致的难孕育家庭,实现宝宝梦想。

但要知道目前已知遗传病超过7000种,而在基因层面,对一种疾病诊断,要准确率和经济性达到临床要求,其难度不亚于研发一种新药攻克某种疾病,所以并不是所以疾病都能够准确筛查的。
即便做第三代试管婴儿PGD/PGS也并不能准确的知道带病基因,而基因检测好比是排地雷,有没有地雷不知道,如果有,地雷在哪里不知道,知道在哪里,它是以何种方式爆炸不知道,并且这颗地雷还会七十二变。

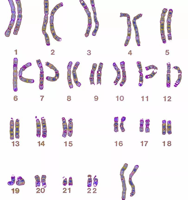
pgd/pgs检测程序及可筛查到的遗传疾病总之第三代试管婴儿PGD和PGS技术都是用于筛查胚胎的健康状况,筛除问题胚胎,以便于淘汰掉不健康的胚胎,挑选出健康的胚胎植入子宫,以求获得正常的妊娠,同时实现优生优育。
总之在胚胎阶段做PGD,选择好的胚胎妊娠,避免流产显然是最好的选择,但对技术要求最高,能筛查的疾病种类少。对于某些疾病能筛查,也不代表你去做一定能成功筛查。
有200多种遗传病,从目前医学来讲,有可能通过胚胎阶段PGD、孕期中的羊水绒毛脐带血筛查来选择妊娠,或在新生儿出生后早诊断早治疗。

能PGD诊断的单基因病有140多种其中所谓的能筛查,是指目前技术水平理论上能做。但是这些罕见病通常在人群中发生率很低,有人得病他们也不一定知道,可以通过筛查来获得正常胚胎;有人知道了想做,也不一定能负担得了费用。