
摘要
最后和老公开始备孕了,了解了不少关系怀孕的相关知道,知道卵子和精子的结合是最关键的,然后我看到网上有人说要调理好卵子要提前三个月,有点懵,不是说排卵是一个月一次吗?想知道卵泡到底是怎么发育而而来的,网上所说的卵泡发育的四个阶段又是怎么分的,各有什么结构特征?有没有图片可以详细解释的?卵泡发育的四个阶段分别是原始卵泡、次级卵泡、成熟卵泡、闭锁卵泡,根据卵泡生长发育流程图解来看,在不同阶段卵泡的大小、结构、形态都有一定的差异,原始卵泡数量多个头小,外周一层扁平的卵泡细胞,初级卵泡阶段细胞增殖成多层(5-6层),次级卵泡分裂迅速,体积大,而成熟卵泡体积很大,可达到20mm,卵泡发育的四个阶段中各时候的结构形态特征如下。

卵泡生长发育流程图解
1、原始卵泡
靠近白膜的位置,中央有一个卵细胞,其外周有一层扁平的卵泡细胞,大小都在55-75um,来源于生殖干细胞,数量较多。
2、生长卵泡
生长卵泡阶段又分为初级生长卵泡和次级生长卵泡,此阶段卵细胞生长发育速度快,细胞分裂迅速,体积大,持续时间较长,两个阶段的情况如下:
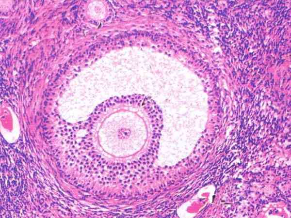
3、成熟卵泡
成熟卵泡体积很大,可达到18-20mm,每个月经周期一般只有1个优势卵泡成熟。成熟卵泡卵泡腔很大,卵丘很明显,内膜细胞呈多边形、胞质清亮、胞核圆形,外膜细胞位于最外层,多呈梭形,与周围结缔组织分界不明显。
4、闭锁卵泡
闭锁卵泡阶段是卵泡停止生长并退化,是一种基因控制的细胞凋亡过程,没有发育成熟的卵泡便会进入这个阶段,此阶段卵细胞特征为结构不清晰甚至消失、透明带皱缩、卵泡壁塌陷等。