

hrt+fet方案移植时间表,巧囊最快也需要等待一个月
患有巧克力囊肿的女性,若是在做试管的时候选择的是hrt+fet方案进行移植的话,一般来讲,需要的时间是比较久的,一般是要1-3个月的时间才能移植胚胎的,但由于每个试管患者的身体体质不同,所以具体的时间也就会存在一定的差异,若是子宫内膜、雌激素水平较好的话,可能不到一个月都可以做手术了。在试管婴儿中,为了保证成功率,医学界针对不同情况的不孕症是制定了很多的方案的,hrt方案叫做激素替代周期,也就是常...

巧克力囊肿切除后别急着移植,恢复身体促排移植也不迟
巧克力囊肿是常见的妇科疾病,如果囊肿块较大未进行切除就进行试管婴儿助孕,很容易造成胚胎着床失败,所以大部分患有巧囊的患者都需要进行切除后再促排卵并移植鲜胚,一般来说,女性至少需要等待3个月左右才能进行促排,因为切除手术属于有创,对身体的伤害是较大的,需要给身体足够的时间才能恢复正常,另外,试管婴儿治疗是十分漫长的,如果患者身体素质不达标贸然进行,还可能会影响最终试管成功率。一般子宫内膜在卵巢内生长...

巧克力囊肿试管婴儿成功率数据预估,附影响因素剖析
巧克力囊肿做试管移植一次就成功的概率不是很高,毕竟巧克力囊肿是一种特殊类型的子宫内膜异位症,该情况会打破子宫内膜环境的平衡,而且该情况还有可能会导致女性的输卵管、盆腔都可能粘连等等,从而也就会影响试管移植后胚胎着床成功率。所以建议患有该疾病的女性朋友,在试管婴儿助孕之前,最好还是先积极配合医生进行治疗,待治疗好后再进行试管助孕。巧囊做试管成功率不高原因相信很多人对巧克力囊肿有点陌生,但是说到子宫内...

巧克力囊肿自怀的几率分享,关键看有没有排卵
左侧巧克力囊肿3cm自然怀孕的几率大。但巧克力囊肿是否能怀孕,需要根据疾病进展的程度,如果巧克力囊肿刚刚形成,囊肿才3cm,没有任何症状,囊肿也没有破过,没有影响到正常的解剖结构,输卵管通畅,功能正常,怀孕几率就很高,正常的夫妻同房一年怀孕的几率70%-80%左右。对于单侧巧克力囊肿的人来说,妊娠率是相对较高的,当巧克力囊肿的直径小于3厘米时,不会影响怀孕;直径大于3厘米时,需要注意防止其破裂;如...

解析诺雷德的作用与功效,乳腺癌、巧克力囊肿患者别错过
众所周知,诺雷得的作用有很多,比较常见的就是乳腺癌和前列腺癌的治疗,并且对于试管婴儿降调促排也有一定作用。因此很多女性会将其归为对妇科疾病有好处的药物,那么对于女性常见的几大“杀手”,如巧克力囊肿,乳腺癌,使用诺雷得之后究竟有没有好处,有哪些好处,下面一起和小编来看看吧!诺雷得有治疗乳腺癌的作用乳腺癌注射诺雷德的好处诺雷德是乳腺癌内分泌治疗中很重要药物,但是不是所有的乳腺癌患者都需要打诺雷德,或者...

巧克力囊肿做试管困难重重,助孕影响促排卵便是其一
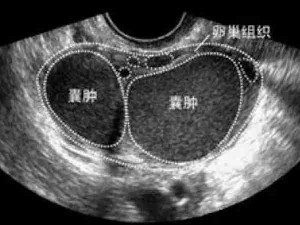
巧克力囊肿实际上就是子宫内膜异位症的一种,当检查到有子宫内膜异位症时,那么就需要及时的进行治疗,否则对身体会造成危害,并且想怀孕的话也就困难。至于巧克力囊肿做试管是否会有影响,又能否促排卵,在文中就能知晓详情。巧克力囊肿是由于内膜异位症引起的巧克力囊肿是由于异位的子宫内膜在卵巢内生长,随着月经周期而出血,形成存在陈旧性积血的囊肿。囊肿内容物通常呈咖啡色,黏稠如糊状,像巧克力样,因此俗称“卵巢巧克力...

巧克力囊肿对怀孕的影响盘点,严重可致女性不孕
巧克力囊肿,也称为子宫内膜异位症囊肿,这种疾病可能会导致盆腔黏连,甚至可能会影响女性卵巢功能,影响卵泡发育,影响排卵,所以可能会对怀孕造成一定不良影响,甚至导致不孕,具体卵巢囊肿是否会影响怀孕,还需要根据囊肿的不同类型来区分。囊肿影响怀孕吗其实卵巢肿囊在妊娠期也是比较常见的,但是恶性肿瘤在妊娠期发生的概率就比较少,如果在怀孕期间有液携卵巢囊肿,那么它的危害性比在非怀孕期间有卵巢囊肿要大;一般在怀孕...

检查出巧克力囊肿是做试管好还是宫腔镜手术好?
左侧巧克力囊肿是直接做试管还是进行宫腔镜手术需要综合患者的具体情况来,北医三院专家认为,通常情况下,对于囊肿体积小、病情轻的患者,建议是保守治疗,通过药物辅助缓解病情,直接进行试管周期,这样更安全更有保障,对于囊肿体积大于125px的患者,建议是先进行腹腔镜手术。为了方便更多人理解关于巧克力囊肿做试管还是宫腔镜的相关问题,特引用北医三院王洁净医生医患答疑实例:左侧巧克力囊肿近一年半,大小6cm左右...

检查出巧克力囊肿想要尽快怀孕选择哪种方法效果好?
如果备孕前期查出单侧巧克力囊肿,体积不是很大,这种情况只要成功怀孕后就会抑制囊肿的的生长,所以囊肿体积小医生就会建议先要孩子。巧克力囊肿会随着每一次月经周期逐渐长大,会发生炎症改变,甚至可能会导致输卵管堵塞导致不孕,所以在备孕期查出巧克力囊肿医生都会建议先要孩子,如果囊肿体积大医生会先建议手术切除后,再进行备孕。巧克力囊肿是一种很常见的妇科疾病,如果情况严重可能会导致不孕,查出巧克力囊肿要尽快要孩...

检查发现巧克力囊肿7cm打亮丙瑞林治疗效果好不好?
巧克力囊肿7cm也可以不做微创手术,但是建议最好还是做手术治疗,因为巧克力囊肿虽然说可以打亮丙瑞林,但是达不到根治,注射亮丙瑞林可能会使巧克力囊肿逐渐萎缩变小,但是停药后可能会复发。巧克力囊肿一般5cm就建议做手术了,7cm的话,如果因此造成不孕,最好还是要用腹腔镜微创方法来剔除囊肿。巧克力囊肿指的是卵巢子宫内膜异位症,在患者出现巧克力囊肿时,可以打注射用醋酸亮丙瑞林缓释微球来进行治疗,可能会促进...

巧克力囊肿切除后做试管胚胎移植后着床率高不高?
双侧巧克力囊肿手术存在一定的潜在危害,特别是卵巢储备功能损害,而试管婴儿着床成功率主要取决于卵巢储备功能、精子质量、子宫内膜环境等因素,所以双侧巧克力囊肿手术后做试管的成功率高不高并不确定,需要由生殖医生评估一下卵巢功能、男方精液质量以及子宫内膜情况后才能知晓。巧克力囊肿是子宫内膜异位症的一种病理改变,可以发生在身体的各个部位,几乎无所不在,最常发生在卵巢,其次是子宫周期的组织。对于有生育要求的双...

巧克力囊肿做手术打4针戈舍瑞林费用贵不贵?能不能报销?
国产戈舍瑞林目前已纳入了医保报销范畴,所以巧克力囊肿术后打四针国产戈舍瑞林治疗是可以申请报销的,不过其只能报销部分费用,所以患者还是需要自己承担一部分费用。目前医保中戈舍瑞林诺雷德针剂价格一支是1680元,其报销比例是75%,也就是说医保一般可以报销1260元,剩下的420元需要自费,四针国产戈舍瑞林自费价格在1680元。戈舍瑞林是一种促黄体生成素释放激素(LHRH)类似物,,是一种由阿斯利康开发...